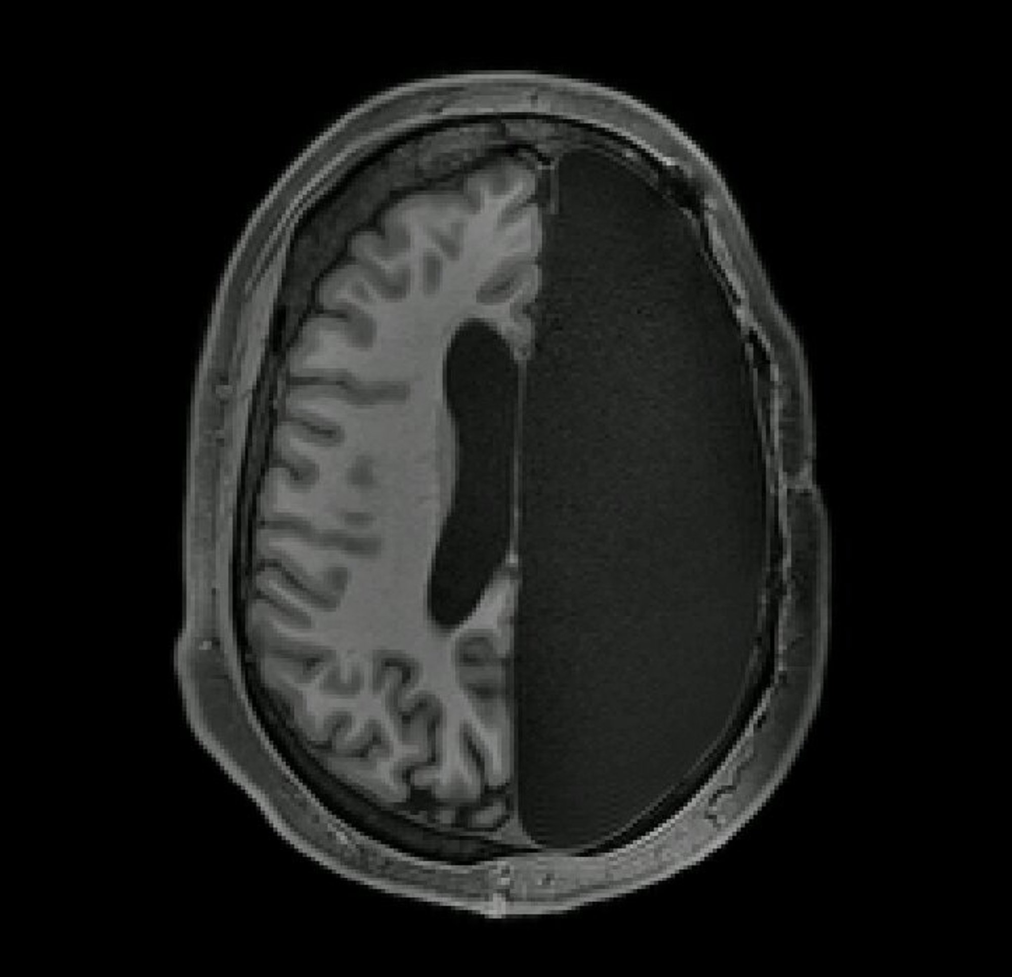
Fjerning av en cerebral hemisfære er en ekstremt sjelden prosedyre. Det utføres kun på epileptiske barn som ikke har respondert på annen behandling. Hvis medisiner eller mindre invasive prosedyrer ikke hjelper og anfallene i seg selv er svært farlige og skadelige for barnets utvikling, er det noen ganger ikke noe annet valg enn å fjerne eller koble fra en hjernehalvdel der epilepsien har spredt seg.
Høres det ut som en forferdelig lyte på sykehistorien? Nei, dette er et helt normalt, men svært sjeldent kirurgisk inngrep som har en suksessrate på 85-90 %. pasientene. Dette er selvfølgelig en kardinal behandlingsmetode, men tenk ikke at folk med en halv hjerne ikke kan leve fullt ut.
Fjerning av halvkulen utføres bare i ekstreme tilfeller. Som et resultat forbedres de mentale evnene til disse barna selv etter intervensjonen, fordi de voldsomme og konstante anfallene forstyrret deres utvikling. I 1975 studerte forskere flere mennesker som vokste opp med bare halvparten av hjernen. En gutt som mistet halvkulen i en alder av fem vokste opp, ble uteksaminert fra college, tok en mastergrad og ble mer vellykket enn jevnaldrende. Selvfølgelig er ikke alle like heldige. Andre mennesker er preget av nedsatt kognitiv utvikling, med talevansker (på grunn av skadede talesentre), men de fleste lever normale liv.
En ny studie av forskere ved California Institute of Technology har overrasket forskerne igjen. Forskerne sier at alle deltakerne i studien, som inkluderte 6 helt friske personer og 6 personer med én hjernehalvdel, var i stand til å snakke flytende. Det var først da hjerneskanningsdataene dukket opp på skjermen at forskerne husket at noen deltakere var annerledes. Alle snakket, gikk og ville vite mer om hva forskerne så.
Og det de så var en spesiell evne til hjernen til å tilpasse seg. Forskere observerte at personer som fikk fjernet en del av hjernen hadde betydelig sterkere forbindelser mellom ulike hjerneregioner. Disse deltakerne gjennomgikk hemisfærektomi i tidlig barndom, noen så unge som 3 måneder gamle og de eldste ved 11 år. I barndommen er hjernen ekstremt plastisk, den danner lett nevronale forbindelser. Dermed kompenserte hjernen raskt for den manglende halvkulen ved å etablere sterkere forbindelser med de overlevende hjerneområdene.
Forskere ønsker å studere dette fenomenet mer detaljert. Dette er faktisk veldig merkelig, fordi selv mindre skader etter et slag eller traume kan føre til varig funksjonshemming eller til og med død. På den annen side har selve prosedyren blitt perfeksjonert over flere tiår og skaden på hjernen er kontrollert og bevisst, i motsetning til ved traumer eller hjerneslag.
Du kan gjøre deg kjent med studiet HER.

«Award winning organizer. Social media enthusiast. TV fanatic. Amateur internet evangelist. Coffee fanatic.»
